Riabilitazione post-estrattiva flapless a carico immediato in paziente anziana
Scopo:
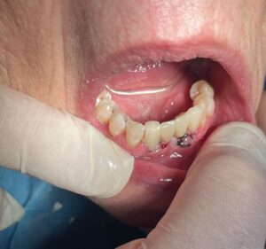
La paziente di 75 anni si presenta con compromissione e mobilità degli elementi 31-32-41-42.
Metodi e materiali:
Si provvede alla estrazione dei quattro elementi con contemporanea inserzione di 2 impianti diametro 3,3 e lunghezza 12.
Dopo attento studio della Conebean per ridurre l’impatto sulla paziente e prevedendo un carico immediato gli impianti vengono inseriti con tecnica flapless.
Valutata mediante la funzione del micromotore utilizzato si raggiunge un torque di 47Ncm, superiore al minimo richiesto per effettuare il carico immediato.
(Il torque richiesto per effettuare un carico immediato deve essere compreso tra 32 e 50Nmc. Misch, Wamg Sharawy, Lemons: Rationale for th
e application of immediate load in implant dentistry).
Sugli impianti vengono montati dei monconi dritti e subito una protesi fissa in resina.
Risultati:
Si provvede a bloccare con un cemento provvisorio la parte protesica controllando accuratamente che non ci sia alcun contatto tra provvisorio e antagonista.
Conclusione:
Tra circa 6 mesi previa valutazione clinica e radiografica si provvederà al posizionamento degli elementi definitivi.
Operatore: Dr. Ho Vinh Xuan libero professionista in Formello (RM)
Laboratorio odontotecnico Palma Roma.
Scarica il Case Report del Dr. Xuan







